TOP > 過去のイベント > 第12回バーチャルスライド投票結果と解答

第12回バーチャルスライド 投票結果と解答

(投票は終了しました。)

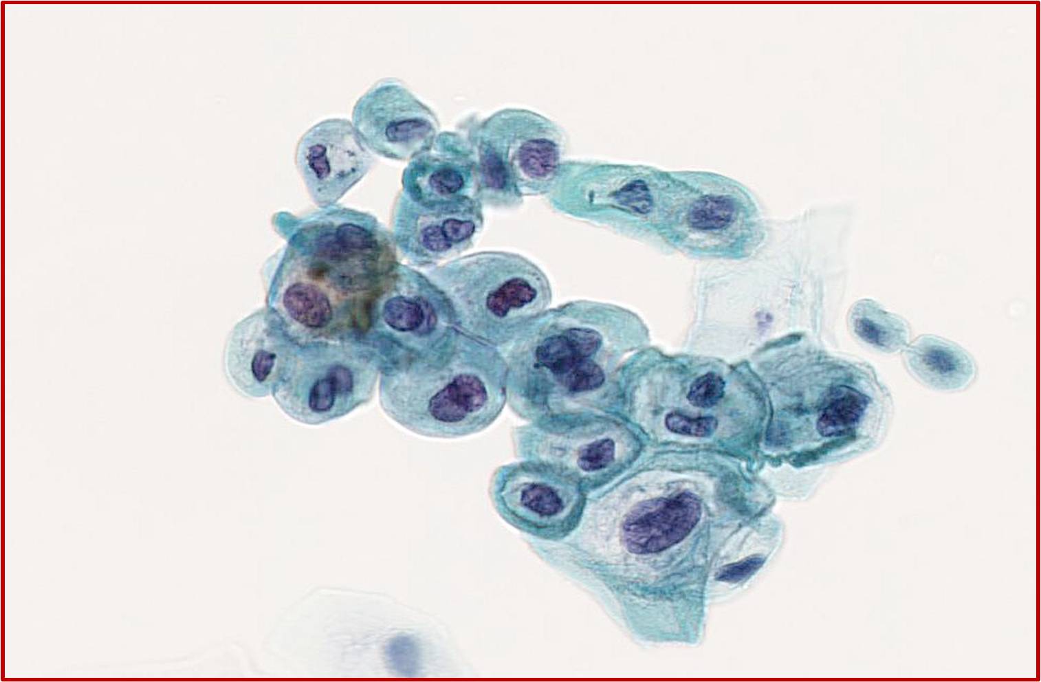
症例1

年齢,性別:40代,男性
材料/臓器:自然尿,膀胱洗浄
処理/塗抹法:沈渣すり合わせ
臨床情報:血尿

選択肢
  1. 良性病変
  2. 低異型度の尿路上皮癌
  3. 高異型度の尿路上皮癌
  4. 腺癌
  5. その他の悪性腫瘍
症例1症例1症例1症例1

回答者:中澤 久美子,米川 球恵

解答,解説:今井 律子

投票結果
症例1の投票結果
解答 選択肢 3:
高異型度の尿路上皮癌
望ましい報告様式による報告例:
陽性,高異型度尿路上皮癌
組織診断:
TUR 浸潤性尿路上皮癌,腺上皮への分化を伴う

症例2

年齢,性別:70代,男性
材料/臓器:自然尿
処理/塗抹法:直接塗沫法
臨床情報:肉眼的血尿

選択肢
  1. 低異型度乳頭状尿路上皮癌が疑われる
  2. 高異型度乳頭状尿路上皮癌が疑われる
  3. 尿路上皮内癌が疑われる
  4. 良性病変が疑われる
  5. 尿細管上皮由来が疑われる
症例2症例2症例2症例2

回答者:鈴木 麻友香,丸 喜明

解答,解説:桝川 睦子

投票結果
投票結果
解答 選択肢 2:
高異型度乳頭状尿路上皮癌が疑われる
望ましい報告様式による報告例:
Ⅳ,尿路上皮癌疑い
組織診断:
TUR Cystitis

症例3

年齢,性別:80代,男性
材料/臓器:自然尿
処理/塗抹法:二回遠心法,直接塗抹
臨床情報:血尿

  1. HPV感染
  2. 扁平上皮癌
  3. 尿路上皮内癌
  4. 乳頭状の尿路上皮癌
  5. 腎細胞癌
症例3症例3症例3症例3

回答者:前野 悦子,山口 輝子

解答,解説:橋本 由紀子

投票結果
投票結果
解答 選択肢 4:
乳頭状の尿路上皮癌
望ましい報告様式による報告例:
Ⅲ,疑陽性
組織診断:
TUR 尿路上皮癌

症例4

年齢,性別:50代,男性
材料/臓器:自然尿
処理/塗抹法:LBC(Sure Path法)
臨床情報:肉眼的血尿があり近医を受診.エコー検査にて膀胱腫瘤を指摘され,当院紹介受診となった。

  1. 炎症,その他の非腫瘍性病変
  2. 尿路上皮異形成
  3. 悪性リンパ腫
  4. 浸潤性尿路上皮癌,特殊型
  5. 高異型度非浸潤性乳頭状尿路上皮癌
症例4症例4症例4症例4

回答者:尾坂 明美,田島 秀昭

解答,解説:有安 早苗

投票結果
投票結果
解答 選択肢 4:
浸潤性尿路上皮癌,特殊型
望ましい報告様式による報告例:
Ⅴ,悪性
組織診断:
浸潤性尿路上皮癌

症例5

年齢,性別:50代,男性
材料/臓器:自然尿
処理/塗抹法:二重遠沈法
臨床情報:尿閉にて近医受診.尿細胞診にてclassⅤ,classⅡを認め当院受診.腹部超音波検査にて前立腺31g.PSA 24ng/ml

  1. 低異型度非浸潤性乳頭状尿路上皮癌
  2. 高異型度非浸潤性乳頭状尿路上皮癌
  3. 浸潤性尿路上皮癌,特殊型
  4. 炎症,その他の非腫瘍性病変
  5. その他
症例5症例5症例5症例5

回答者:瀬古 周子,山口 ゆかり

解答,解説:北田 昇平

投票結果
投票結果
解答 選択肢 5:
その他
望ましい報告様式による報告例:
Ⅴ,悪性
組織診断:
前立腺癌

症例6

年齢,性別:40代,女性
材料/臓器:腎腫瘍
処理/塗抹法:捺印塗抹
臨床情報:肉眼的血尿を主訴に来院.腹部MRIにて右腎上極に約45cm大の腫瘤を指摘される.既往歴に特記すべき事項はありません

  1. 悪性腎類上皮血管筋脂肪腫
  2. 良性血管筋脂肪腫
  3. 悪性黒色腫
  4. 嫌色素性腎細胞癌
  5. 浸潤性尿路上皮癌巨細胞型
症例6症例6症例6症例6

回答者:岡本 恵美,飛田 和秀

解答,解説:木下 勇一 / 山口 直則

投票結果
投票結果
解答 選択肢 1:
悪性腎類上皮血管筋脂肪腫
望ましい報告様式による報告例:
Ⅴ,悪性
組織診断:
手術,腎類上皮血管筋脂肪腫

症例7

年齢,性別:80代,男性
材料/臓器:自然尿
処理/塗抹法:二重遠沈法
臨床情報:8年前,洞不全症候群でペースメーカー植え込み術施行.抗凝固薬内服中.
1年前,前立腺肥大症.内服加療中肉眼的血尿があり受診.

  1. 炎症,その他の非腫瘍性病変
  2. 尿路上皮内癌
  3. 低異型度乳頭状尿路上皮癌
  4. 高異型度乳頭状尿路上皮癌
  5. 浸潤性尿路上皮癌
症例7症例7症例7症例7

回答者:山田 貴之,山田 由香里

解答,解説:久保田 文恵

投票結果
投票結果
解答 選択肢 4:
高異型度乳頭状尿路上皮癌
望ましい報告様式による報告例:
悪性,高異型度乳頭状尿路上皮癌
組織診断:
TUR 浸潤性尿路上皮癌

症例8

年齢,性別:80代,男性
材料/臓器:自然尿
処理/塗抹法:従来法,引きガラス法
臨床情報:1か月前より肉眼的血尿

  1. 反応性変化
  2. 尿路上皮異形成
  3. 尿路上皮内癌
  4. 浸潤性尿路上皮癌
  5. 腺癌
症例8症例8症例8症例8

回答者:鶴岡 慎吾,下境 博文

解答,解説:田中 義成

投票結果
投票結果
解答 選択肢 2:
尿路上皮異形成
望ましい報告様式による報告例:
Ⅲ 尿路上皮癌も否定できない
組織診断:
生検 尿路上皮異形成

症例9

年齢,性別:70代,男性
材料/臓器:自然尿
処理/塗抹法:二重遠心オートスメア法(ポストサンプラー固定)
臨床情報:2年前TURにてUC G3 pT1 + pTis .BCG6回施行.
以後,尿細胞診は陰性化していたが,2ヵ月前に尿細胞診classⅢ.
膀胱鏡は再発所見なし

  1. 反応性変化
  2. 尿路上皮異形成
  3. 尿路上皮内癌
  4. 浸潤性尿路上皮癌
  5. 腺癌
症例9症例9症例9症例9

回答者:石倉 宗浩,豊永 安洋

解答,解説:平本 直美

投票結果
投票結果
解答 選択肢 3:
尿路上皮内癌
望ましい報告様式による報告例:
Ⅴ,尿路上皮内癌または高異型度尿路上皮癌
組織診断:
尿路上皮内癌

症例10

年齢,性別:50代,男性
材料/臓器:自然尿
処理/塗抹法:尿沈渣,S染色
臨床情報:尿定性検査にて淡黄色・血尿による混濁1+
潜血反応3+,蛋白1+,糖3+

  1. 尿沈渣背景にみられる細胞は?
  2. 問題となる細胞は?気になる細胞は?
  3. 問題となる細胞は○○○系の細胞を考えますか?
  4. どのような病変を考えますか?
症例10症例10症例10症例10

回答者:飯塚 桂子,池上 理香

解答,解説:猪浦 一人

解答

  1. 非糸球体赤血球と変性細胞
  2. 小型円形で核肥大、核形不整、核濃染性を示す細胞
  3. 尿路上皮系
  4. 尿路上皮癌
組織診断:
TUR-BT乳頭状尿路上皮癌とCIS病変

症例11

年齢,性別:70代,男性
材料/臓器:自然尿
処理/塗抹法:尿沈渣,S染色
臨床情報:尿定性検査にて淡黄色・混濁1+
潜血反応3+,蛋白1+,糖(-)

  1. 尿沈渣背景にみられる細胞は?
  2. 問題となる細胞は?気になる細胞は?
  3. 問題となる細胞は○○○系の細胞を考えますか?
  4. どのような病変を考えますか?
症例11症例11症例11症例11

回答者:三谷 智恵子,千原 美紀子

解答,解説:猪浦 一人

解答

  1. 非糸球体赤血球
  2. 小型の上皮細胞
  3. 尿路上皮系
  4. 物理的刺激により剥離した尿路上皮細胞
組織診断:
組織なし